Recombinant Human Galectin 8, variant 2, His Tag (359 a.a.) -100 ug

https://www.pedb.org/web/image/product.template/50579/image_1920?unique=8d67940
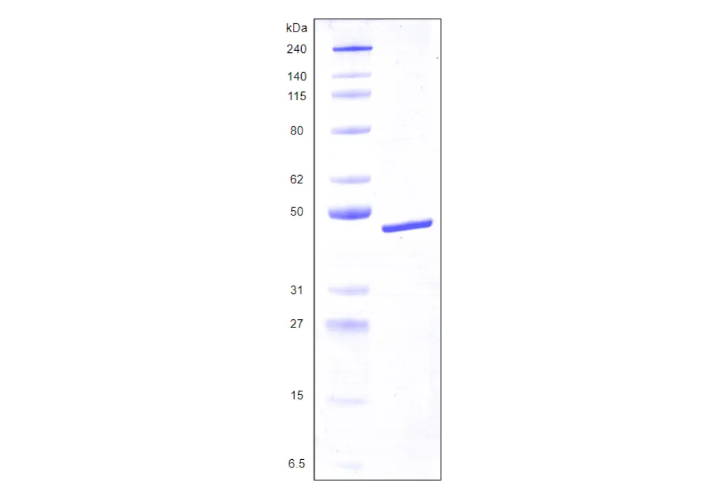
Recombinant Human Galectin 8, Variant 2, His Tag is a biologically active, high-purity protein (>90%, SDS-PAGE) expressed in E. coli, spanning Met1–Trp359 with a molecular weight of 41.6 kDa. Featuring an N-terminal His tag, it binds fixed Jurkat cells (2–25 μg/mL) and is ideal for studies in immune signaling, cell adhesion, and cancer biology. Supplied by Gentaur, the protein is lyophilized in PBS with NaCl, sucrose, and DTT, endotoxin-tested (

761.60 761.6 USD 761.60

761.60 €

Not Available For Sale

This combination does not exist.

Terms and Conditions
30-day money-back guarantee
Shipping: 2-3 Business Days


Internal Reference: MC04-100